Cuando el betabloqueador revela el diagnóstico: feocromocitoma simulando síndrome coronario agudo: reporte de caso
DOI:
https://doi.org/10.47487/apcyccv.v7i1.574Palabras clave:
Feocromocitoma, Síndrome Coronario Agudo, Bloqueador de Receptores Beta-AdrenérgicosResumen
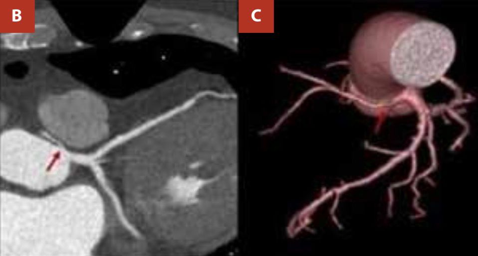
El feocromocitoma es un tumor neuroendocrino productor de catecolaminas cuya presentación clínica puede simular un síndrome coronario agudo y representar un reto diagnóstico en la cardiología clínica. Presentamos el caso de un varón de 63 años con dolor precordial intermitente, hipertensión paroxística e incremento leve de troponinas. Fue referido a nuestra institución con diagnóstico de síndrome coronario agudo. Los electrocardiogramas de ingreso no evidenciaron signos de isquemia aguda; el ecocardiograma transtorácico no mostró trastornos segmentarios de motilidad. Se propuso una estratificación isquémica no invasiva. Previo a la angiografía coronaria por tomografía computarizada (CCTA), se administró propranolol, tras lo cual el paciente desarrolló crisis hipertensiva y dolor precordial. El mismo episodio se presentó luego de una segunda dosis de betabloqueador. La CCTA no identificó estenosis coronarias significativas. Ante la sospecha de feocromocitoma, la tomografía abdominal con contraste mostró un nódulo suprarrenal izquierdo y en la orina se identificaron metanefrinas elevadas. Se realizó una adrenalectomía y la histopatología confirmó un feocromocitoma benigno. El paciente evolucionó favorablemente, asintomático hasta la fecha.
Descargas
Referencias
Safwat AS, Bissada NK, Seyam RM, Sobhi SA, Hanash KA. The clinical spectrum of phaeochromocytoma: analysis of 115 patients. BJU Int. 2008;101(12):1561-4. doi: 10.1111/j.1464-410X.2008.07430.x.
Y-Hassan S, Falhammar H. Cardiovascular manifestations and complications of pheochromocytomas and paragangliomas. J Clin Med. 2020;9(8):2435. doi: 10.3390/jcm9082435.3.
Strong VE, Kennedy T, Al-Ahmadie H, Tang L, Coleman J, Fong Y, et al. Prognostic indicators of malignancy in adrenal pheochromocytomas: clinical, histopathologic, and cell cycle/apoptosis gene expression analysis. Surgery. 2008 Jun;143(6):759-68. doi: 10.1016/j. surg.2008.02.007.
Wu HY, Cao YW, Gao TJ, Fu JL, Liang L. Pheochromocytoma in a 49-year-old woman presenting with acute myocardial infarction: a case report. World J Clin Cases. 2021;9(15):3752-7. doi: 10.12998/ wjcc.v9.i15.3752.
Baguet JP, Hammer L, Mazzuco TL, Chabre O, Mallion JM, Sturm N, et al. Circumstances of discovery of phaeochromocytoma: a retrospective study of 41 consecutive patients. Eur J Endocrinol. 2004;150(5):681-6. doi: 10.1530/eje.0.1500681.
Tagle V Rodrigo, Acosta V Pamela, Valdés S Gloria. Orthostatic hypotension as an unusual manifestation of pheochromocytoma: Report of one case. Rev. méd. Chile. 2003;131(12):1429-1433.
Liao WB, Liu CF, Chiang CW, Kung CT, Lee CW. Cardiovascular manifestations of pheochromocytoma. Am J Emerg Med. 2000;18(6):622-5. doi: 10.1053/ajem.2000.7341.
Gu YW, Poste J, Kunal M, Schwarcz M, Weiss I. Cardiovascular manifestations of pheochromocytoma. Cardiol Rev. 2017;25(5):215- 22. doi: 10.1097/CRD.0000000000000141.
Prejbisz A, Lenders JW, Eisenhofer G, Januszewicz A. Cardiovascular manifestations of phaeochromoc ytoma. J H yper tens. 2011;29(11):2049-60. doi: 10.1097/HJH.0b013e32834a4ce9.
Faridi SH, Harris SH, Afrose R, Siddiqui B, Ashraf H. Bilateral pheochromocytoma: an atypical cause of myocardial infarction in a young male. World J Endoc Surg. 2021;13(2):64-7. doi: 10.5005/jp-journals-10002-1408.
Szatko A, Glinicki P, Gietka-Czernel M. Pheochromocytoma/ paraganglioma-associated cardiomyopathy. Front Endocrinol (Lausanne). 2023;14:1204851. doi: 10.3389/fendo.2023.1204851.
Demir M, Özbek M, Güzel T, Aktan A. Unusual case report of malignant pheochromocytoma presenting with STEMI. Eur Heart J Case Rep. 2023;7(7):ytad249. doi: 10.1093/ehjcr/ytad249.
Byrne RA, Rossello X, Coughlan JJ, Barbato E, Berry C, Chieffo A, et al. ESC Scientific Document Group. 2023 ESC Guidelines for the management of acute coronary syndromes. Eur Heart J. 2023;44(38):3720-826. doi: 10.1093/eurheartj/ehad191.
Gaudino M, Di Franco A, Arbustini E, Bacha E, Bates ER, Cameron DE, et al. Management of adults with anomalous aortic origin of the coronary arteries: state-of-the-art review. J Am Coll Cardiol. 2023;82(21):2034-53. doi: 10.1016/j.jacc.2023.08.012.
Bessell-Browne R, O’Malley ME. CT of pheochromocytoma and paraganglioma: risk of adverse events with i.v. administration of nonionic contrast material. AJR Am J Roentgenol. 2007;188(4):970-4. doi: 10.2214/AJR.06.0827.
Chrisoulidou A, Kaltsas G, Ilias I, Grossman AB. The diagnosis and management of malignant phaeochromocytoma and paraganglioma. Endocr Relat Cancer. 2007;14(3):569-85. doi: 10.1677/ERC-07-0074.
Cano Megías M, Rodríguez Puyol D, Fernández Rodríguez L, Sención Martínez GL, Martínez M. Feocromocitoma-paraganglioma: del diagnóstico bioquímico al genético. Nefrologia. 2016;36(5):481-8. doi: 10.1016/j.nefro.2016.03.010.
Worrest TC, Gilbert EW, Sheppard BC. Pheochromocytoma: 20 years of improving surgical care. Am J Surg. 2019;217(5):967-9. doi: 10.1016/j. amjsurg.2019.03.016.
Fang F, Ding L, He Q, Liu M. Preoperative management of pheochromocytoma and paraganglioma. Front Endocrinol (Lausanne). 2020;11:586795. doi: 10.3389/fendo.2020.586795.
Petrák O, Krátká Z, Holaj R, Zítek M, Nguyen Nikrýnová T, Klímová J, et al. Cardiovascular complications in pheochromocytoma and paraganglioma: does phenotype matter? Hypertension. 2024;81(3):595-603. doi: 10.1161/HYPERTENSIONAHA.123.21902.
Descargas
Publicado
Número
Sección
Licencia
Derechos de autor 2026 La revista es titular de la primera publicación, luego el autor dando crédito a la primera publicación.

Esta obra está bajo una licencia internacional Creative Commons Atribución 4.0.








